Overslaan naar inhoud


Was ist ein multiparametrisches MRT der Prostata? 

Die Früherkennung von Prostatakrebs ist heute sicherer und schonender denn je. In unserer Praxis setzen wir auf die multiparametrische MRT (mpMRT) – das derzeit modernste und präziseste Verfahren zur Untersuchung der Prostatadrüse.

Dank hochauflösender Schichtbilder und funktionaler Analysen gewinnen wir eine diagnostische Sicherheit, die weit über herkömmliche Methoden hinausgeht. Ob zur Vorsorge, bei einem steigenden PSA-Wert oder zur punktgenauen Planung einer Therapie: Wir bieten Ihnen Sicherheit durch modernste Technik und zertifizierte, fachliche Expertise, damit Sie Gewissheit über Ihre Gesundheit haben – schnell, schmerzfrei und ohne Strahlenbelastung.

Da das Prostatakarzinom die häufigste Krebserkrankung bei Männern in Deutschland ist und es im Frühstadium oft keine Symptome verursacht, ist eine präzise Früherkennung der entscheidende Schlüssel für eine erfolgreiche und schonende Heilung.

Häufig stecken hinter einem erhöhten PSA-Wert oder Problemen beim Wasserlassen jedoch auch eine gutartige Prostatavergrößerung (BPH) oder eine Entzündung (Prostatitis). Diese Krankheitsbilder können mittels der MRT ebenfalls sicher diagnostiziert werden. So erhalten Sie eine verlässliche Diagnose, die die Grundlage für Ihre weitere, gezielte Behandlung bildet.

Ihre Vorteile in unserer Praxis

  • Schnelle Terminvergabe
  • Kurze Untersuchungsdauer (ca. 16 Minuten)
  • Moderne MRT-Technologie
  • Hohe diagnostische Sicherheit: leitliniengerechte Untersuchungsprotokolle, Q2-zertifzierte Auswertung und Doppelbefundung
  • Persönliche Betreuung in angenehmer Atmosphäre
  • Persönliche oder telefonische Befundbesprechung

Wann ist ein MRT der Prostata sinnvoll?

Die mpMRT kommt dann zum Einsatz, wenn es Auffälligkeiten in den herkömmlichen diagnostischen Methoden (PSA-Wert, Tastbefund oder Ultraschall) gibt, die eine weitere Abklärung benötigen. 

Die Hauptgründe für eine Untersuchung sind:

  • Erhöhter /steigender PSA-Wert: Verdacht auf ein Karzinom bei unklarer Ursache des Anstiegs
  • Auffälliger Tast- oder Ultraschallbefund mit Verdacht auf Karzinom
  • Negative Biopsie bei anhaltendem Karzinomverdacht: Wenn trotz Gewebeprobe kein Tumor gefunden wurde, die PSA-Werte aber weiterhin steigen.
  • Aktive Überwachung (Active Surveillance): Bei bekannten, wenig aggressiven Tumoren dient die mpMRT zur engmaschigen Kontrolle, um ein Fortschreiten der Erkrankung rechtzeitig zu erkennen.
  • Präzise Krebsvorsorge: Für Männer mit einem erhöhten familiären Risiko oder dem Wunsch nach maximaler Sicherheit bietet die mpMRT eine Vorsorge-Qualität, die weit über das herkömmliche Abtasten oder den Ultraschall hinausgeht. Sie dient als „Sicherheitsnetz“, um behandlungsbedürftige Tumore bereits in einem Stadium zu entdecken, in dem sie noch optimal heilbar sind.
  • Therapieplanung: Vor einer Operation oder Bestrahlung zur genauen Bestimmung der Tumorausdehnung.

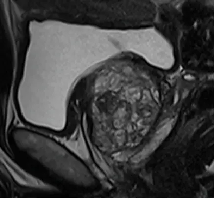
Prostatacarcinom (PIRADS4-Befund)

T2-Wichtung

Diffusionswichtung

Kontrastmitteldynamik

Ablauf und Durchführung eines Prostata MRTs

Im Folgenden erklären wir Ihnen Schritt für Schritt den Ablauf der Untersuchung.

1. Vorbereitung vor der Untersuchung

  • Informationen und Aufklärung vor der MRT-Untersuchung:
  • Besprechung Ihrer aktuellen Beschwerden
  • Einreichen von möglichen Vorbefunden (z. B. PSA-Wert, Ultraschall, Biopsie)
  • Besprechung von Vorerkrankungen und ggf. Implantaten
  • Klärung eventueller Kontrastmittel-Unverträglichkeiten

Da die MRT mit einem starken Magnetfeld arbeitet, dürfen sich keine metallischen Gegenstände am oder im Körper befinden (z. B. Schmuck, Uhren, Hörgeräte, Bankkarten). Implantate wie Herzschrittmacher müssen vorab geprüft werden.

Es ist keine spezielle Vorbereitung notwendig. Sie können normal essen und trinken.

Jedoch sollten Sie in Begleitung zur Untersuchung erscheinen, da Sie während der MRT zur Bildqualitätsverbesserung ein Medikament (Buscopan) erhalten, das in seltenen Fällen z.B. Sehstörungen verursachen kann.

2. Lagerung im MRT-Gerät

Für die Untersuchung liegen Sie bequem auf dem Rücken auf der Untersuchungsliege. Diese fährt langsam in das MRT-Gerät hinein (der Kopf verbleibt während der Untersuchung außerhalb des Gerätes), sodass Sie während der gesamten Untersuchung ruhig und entspannt liegen können. Die Prostata-MRT dauert in unserer Praxis etwa 16 Minuten.

3. Die eigentliche MRT-Untersuchung

Die MRT arbeitet mit einem starken Magnetfeld und Radiowellen – ohne Röntgenstrahlung. Während der Untersuchung entstehen laute Klopf- oder Brummgeräusche. Sie erhalten daher einen Gehörschutz oder Kopfhörer. Sie erhalten leitliniengerecht zusätzlich ein gut verträgliches Kontrastmittel sowie Buscopan (hemmt die natürliche Darmbewegung) über eine Armvene.

Die Untersuchung umfasst verschiedene Bildsequenzen (=multiparametrisch), darunter:

  • hochauflösende T2w- Aufnahmen (Beurteilung der Anatomie)
  • diffusionsgewichtete Sequenzen (Beurteilung der Zelldichte)
  • dynamische Kontrastmittelaufnahmen (Beurteilung der Durchblutung)

Diese Kombination ermöglicht eine sehr genaue Beurteilung nach international anerkannten Kriterien (PIRADS-Befundungsschema).

4. Nach der Untersuchung

Nach etwa 16 Minuten ist die Untersuchung abgeschlossen und Sie erhalten die Untersuchungsbilder via CD und QR-Code. Falls Sie Buscopan erhalten haben, sollten Sie an diesem Tag kein Auto fahren bzw. schwere Maschinen bedienen. Ansonsten können Sie unmittelbar nach der Untersuchung wieder Ihren gewohnten Aktivitäten nachgehen.

Die Auswertung der MRT-Bilder erfolgt sorgfältig durch unsere hochspezialisierten Radiologinnen und Radiologen (Q1-/Q2-Zertifizerung durch die Deutsche Röntgengesellschaft). Der schriftliche Befund wird zeitnah (in der Regel innerhalb von 48h) an Ihre behandelnde Ärztin oder Ihren behandelnden Arzt übermittelt. Zudem erhalten Sie vorab ein Befundgespräch sowie Zugang zu Ihren Untersuchungsbildern inkl. Befund über unser digitales Patientenportal.

Sollten Sie Fragen zur Prostata-MRT haben, steht Ihnen unser Team jederzeit gerne zur Verfügung. Wir begleiten Sie kompetent und einfühlsam durch die gesamte Untersuchung.

Was sind die Vorteile eines Prostata MRTs?

Die Entscheidung für eine mpMRT in unserer Praxis bietet Ihnen als Patient entscheidende Vorteile:

  • Höchste Treffsicherheit: Die Untersuchung erkennt klinisch relevante Tumore deutlich zuverlässiger als der herkömmliche Untersuchungsmethoden.
  • Keine Strahlenbelastung: Die Untersuchung arbeitet mit Magnetfeldern, nicht mit Röntgenstrahlen.
  • Gezielte Biopsie statt „Schrotschuss“: Sollte eine Gewebeentnahme nötig sein, liefern unsere MRT-Daten die exakten Koordinaten für eine Fusionsbiopsie. Das erhöht die Chance, bösartige Areale direkt zu treffen, und reduziert die Anzahl der Proben.
  • Vermeidung von Überdiagnosen und unnötigen Biopsien: Harmlose Veränderungen können besser von aggressiven Tumoren unterschieden werden, was Ihnen unnötige Sorgen und Therapien erspart.
  • Nicht-invasiv und schmerzfrei: Die Untersuchung findet ohne direkten Eingriff in den Körper statt.

Prostatavergrößerung

T2w sagittal


T2w axial  

T2w coronal  

Was kostet ein MRT der Prostata?

Werden die Kosten von den Krankenkassen übernommen?

Die privaten Krankenversicherungen erstatten die Kosten für die mpMRT in der Regel meist vollständig. 
Vereinbaren Sie hier direkt Ihren Online Termin!

Die gesetzlichen Krankenkassen übernehmen zum aktuellen Zeitpunkt die Untersuchungskosten in der Regel leider noch nicht, da die mpMRT trotz ihrer Bedeutung und festen Verankerung in der S3-Leitlinie „Prostatakarzinom“ noch nicht in den Leistungskatalog der GKV (EBM) aufgenommen wurde. Sollten Sie gesetzlich versichert sein, gibt es in diesem Fall folgende Möglichkeiten für Sie: 

  • Als Selbstzahler (wir erstellen Ihnen gerne einen Kostenvoranschlag).
  • Im Rahmen eines sog. Selektivvertrages. Einige Krankenkassen ermöglichen Ihren Mitgliedern jetzt über einen sogenannten Selektivvertrag den Zugang zu dieser modernen Diagnostik. Das heißt: Sie übernehmen die Kosten der Untersuchung. Ist Ihre Krankenkasse dabei? 
    Hier finden Sie weitere Informationen!  
  • Antrag auf Kostenerstattung durch Ihre GKV. Hierbei unterstützen wir Sie gerne und stellen Ihnen ein Antragsformular zur Verfügung. Nehmen Sie hierfür gerne Kontakt mit uns auf.

Häufig gestellte Fragen 
Hier finden Sie einige häufig gestellte Fragen zur Prostata-Untersuchung im MRT.​


Die Prostata ist eine walnussgroße Drüse (sog. Vorsteherdrüse) des Mannes unterhalb der Harnblase. Sie produziert einen wichtigen Bestandteil der Samenflüssigkeit und ist damit für die Fruchtbarkeit bedeutend. Da sie die Harnröhre umschließt und als Muskelventil zur Trennung von Harn- und Samenweg dient, kann eine Erkrankung der Prostata – etwa eine Entzündung, Vergrößerung oder Prostatakrebs – den Harnfluss beeinflussen.

Die multiparametrische MRT (mpMRT) der Prostata ist ein modernes, hochauflösendes bildgebendes Verfahren zur frühzeitigen Erkennung und genauen Diagnostik von Prostatakrebs. Sie kombiniert verschiedene MRT-Sequenzen, um gutartige Veränderungen von klinisch relevanten Tumoren zu unterscheiden. Die mpMRT spielt eine zentrale Rolle vor einer Prostatabiopsie sowie bei unklaren PSA-Werten.

Nein. Die mpMRT der Prostata ist eine nicht-invasive und schmerzfreie Untersuchung. Während der MRT liegen Sie entspannt auf einer Liege. Es entstehen lediglich typische laute Klopfgeräusche, gegen die Sie einen Gehörschutz erhalten.

Meist ist keine besondere Vorbereitung erforderlich. Vor der Untersuchung klären wir Implantate wie z.B. Herzschrittmacher oder relevante Vorerkrankungen ab. Je nach Fragestellung kann eine kurzfristige Anpassung bestimmter Medikamente notwendig werden. Genaue Hinweise erhalten Sie vor Ihrem Termin.

Die Kostenübernahme der Prostata-MRT durch gesetzliche Krankenkassen erfolgt in der Regel bislang leider nicht, da die Prostata-MRT trotz ihrer Bedeutung und festen Verankerung in der S3-Leitlinie „Prostatakarzinom“ leider noch nicht in den Leistungskatalog der GKV (EBM) aufgenommen wurde. In diesem Fall können Sie die Untersuchung als Selbstzahler wahrnehmen. Über dann mögliche Kosten und Erstattungsoptionen beraten wir Sie gerne transparent und individuell. Zudem gibt es seit kurzem die Möglichkeit der Durchführung der mpMRT Prostata im Rahmen eines sog. Selektivvertrages verschiedener gesetzlicher Krankenkassen. Das heißt: Sie übernehmen die Kosten der Untersuchung. Ist Ihre Krankenkasse dabei? 
Hier finden Sie weitere Informationen!

Nein. Die MRT arbeitet mit einem starken Magnetfeld – es entsteht keine Röntgen- oder ionisierende Strahlenbelastung. Die Untersuchung gilt daher als besonders schonend.

In vielen Fällen kann eine unauffällige mpMRT helfen, eine unnötige Biopsie zu vermeiden. Zeigt die Untersuchung jedoch verdächtige Areale, ermöglicht sie eine gezielte MRT-gestützte oder Fusionsbiopsie. Dadurch wird die Trefferquote erhöht und die Diagnostik von Prostatakrebs verbessert.

Ja. Die Aussagekraft der Prostata-MRT hängt wesentlich von moderner Gerätetechnik, standardisierten Untersuchungsprotokollen und der Erfahrung spezialisierter Radiologen ab (Q1-/Q2-Zertifizierung in der Prostata-MRT-Befundung durch die Deutsche Röntgengesellschaft). Eine strukturierte Befundung nach internationalen PI-RADS-Kriterien ist entscheidend für eine verlässliche Diagnostik. All diese Faktoren finden Sie bei uns in der Praxis!

Eine Prostatitis (Prostataentzündung) sollte urologisch abgeklärt werden. Typische Symptome sind Schmerzen im Beckenbereich, Beschwerden beim Wasserlassen oder Fieber. Die Behandlung richtet sich nach der Ursache, häufig erfolgt eine antibiotische Therapie (bei z.B. bakterieller Entzündung). Bei einer abakteriellen Prostatitis (chronisches Beckenschmerzsyndrom) kann aber auch eine Symptomlinderung durch Wärmeanwendungen, Physiotherapie, Entspannungsübungen und ggf. eine medikamentöse Therapie erzielt werden. Auch gibt es eine symptomfrei verlaufende Form der Prostatitis (asymptomatische Prostatitis). 

Die gutartige Prostatavergrößerung (benigne Prostatahyperplasie, BPH) ist eine häufige Ursache für Beschwerden beim Wasserlassen. Je nach Schweregrad kommen medikamentöse Therapien, minimalinvasive Verfahren oder operative Eingriffe infrage. Eine frühzeitige Diagnostik, beispielsweise mittels MRT, kann helfen, andere Ursachen wie Prostatakrebs auszuschließen und eine gezielte, sich anschließende urologische Behandlung ermöglichen.

Nein. In unserer Praxis wird die Prostata-MRT ohne eine Spule im Enddarm durchgeführt.

Stattdessen verwenden wir moderne MRT-Technik mit speziellen Empfangsspulen von außen, die auf dem Beckenbereich liegen. Damit können wir hochwertige und aussagekräftige Bilder der Prostata erstellen, ohne dass eine zusätzliche Untersuchung im Enddarm notwendig ist.

Nach einer Prostatabiopsie sollte man in der Regel etwa 4 bis 6 Wochen warten, bevor eine Prostata-MRT durchgeführt wird. Durch die Gewebeentnahmen entstehen kleine Blutungen in der Prostata, die im MRT sichtbar sein können und die Beurteilung erschweren. Wenn genügend Zeit vergangen ist, können wir die Bilder deutlich zuverlässiger auswerten.

In Einzelfällen kann der genaue Zeitpunkt individuell mit dem behandelnden Arzt abgestimmt werden.

In den meisten Fällen verwenden wir bei der Prostata-MRT ein Kontrastmittel, das über eine Vene im Arm verabreicht wird. Dadurch können Durchblutung und Gewebestruktur der Prostata genauer beurteilt werden.

Der Vorteil: Verdächtige Bereiche lassen sich oft besser erkennen und sicherer von gutartigen Veränderungen unterscheiden. Das erhöht die Aussagekraft der Untersuchung.

Das verwendete MRT-Kontrastmittel ist in der Regel sehr gut verträglich. Ob es in Ihrem Fall eingesetzt wird, entscheiden wir individuell vor der Untersuchung.

Ja, in den meisten Fällen ist eine Prostata-MRT auch bei Platzangst gut möglich. Unsere MRT-Geräte haben eine besonders große Öffnung, sodass viele Patienten die Untersuchung als deutlich angenehmer empfinden. Außerdem sind Sie während der gesamten Untersuchung über eine Sprechanlage mit unserem Team verbunden.

Falls dennoch starke Platzangst besteht, können wir gemeinsam vor der Untersuchung zusätzliche unterstützende Maßnahmen besprechen.

PI-RADS ist ein standardisiertes Bewertungssystem für die Prostata-MRT. Damit beschreiben Radiologen, wie auffällig ein Bereich in der Prostata im MRT erscheint und wie wahrscheinlich es ist, dass sich dahinter eine relevante, behandlungsbedürftige Veränderung der Prostata verbergen könnte.

Die Bewertung erfolgt auf einer Skala von 1 bis 5:

  • PI-RADS 1–2: Eine relevante Veränderung ist sehr unwahrscheinlich.
  • PI-RADS 3: Unklarer Befund – Verlaufskontrolle; eine weitere Abklärung kann sinnvoll sein.
  • PI-RADS 4–5: Eine relevante Veränderung ist zunehmend wahrscheinlich.

Wichtig: PI-RADS ist keine endgültige Diagnose, sondern eine Einschätzung der Bildbefunde. Das weitere Vorgehen wird immer gemeinsam mit Ihrem behandelnden Urologen festgelegt.

Die klassische Prostata-Vorsorge besteht meist aus der PSA-Blutuntersuchung und dem Abtasten der Prostata durch den Urologen. Diese Untersuchungen können Hinweise auf Veränderungen geben, zeigen jedoch keine direkten Bilder der Prostata.

Die Prostata-MRT erstellt dagegen sehr detaillierte Bilder der gesamten Prostata. Dadurch können Veränderungen im Gewebe früher und genauer erkannt und räumlich präzise eingeordnet werden. Ein weiterer Vorteil: Bereiche, die bei der Tastuntersuchung schwer erreichbar sind – zum Beispiel weiter vorne in der Prostata oder an der Spitze – können im MRT trotzdem gut beurteilt werden.

Wenn eine Gewebeprobe notwendig wird, kann die MRT außerdem helfen, verdächtige Bereiche gezielt zu identifizieren, sodass eine mögliche Biopsie präziser geplant werden kann.

Der schriftliche Befund Ihrer Prostata-MRT liegt in der Regel zeitnah (in der Regel innerhalb von 48h) vor. Wir besprechen das Ergebnis anschließend zeitnah mit Ihnen.

Zusätzlich wird der Befund an Ihren behandelnden Urologen übermittelt. Dieser bespricht mit Ihnen das weitere Vorgehen und entscheidet gemeinsam mit Ihnen, ob zum Beispiel eine Kontrolle, weitere Diagnostik oder gegebenenfalls eine gezielte Biopsie sinnvoll ist.

Die Q1- und Q2-Zertifizierungen sind Qualitätszertifikate der Deutschen Röntgengesellschaft (DRG) für Radiologen, die Prostata-MRTs befunden. Sie bestätigen eine spezielle Ausbildung und Erfahrung in der Beurteilung dieser Untersuchung.

  • Q1-Zertifizierung: Nachweis einer strukturierten Weiterbildung und Erfahrung in der Befundung von Prostata-MRTs.
  • Q2-Zertifizierung: Höhere Qualifikationsstufe mit besonders umfangreicher Erfahrung und einer größeren Anzahl ausgewerteter Untersuchungen.

Für Sie als Patient bedeutet das: Die Untersuchung und Befundung erfolgt nach hohen Qualitätsstandards durch speziell qualifizierte Radiologen.

Eine Prostata-MRT kann sinnvoll sein, wenn ein erhöhtes persönliches Risiko oder ein auffälliger Vorsorgebefund vorliegt. Dazu gehören zum Beispiel erhöhte oder ansteigende PSA-Werte, ein unklarer Tastbefund beim Urologen oder auffällige frühere Untersuchungen.

Auch bei familiärer Vorbelastung, zum Beispiel wenn nahe Verwandte an Prostatakrebs erkrankt sind, kann eine MRT zur frühen und genaueren Abklärung sinnvoll sein.

Der Vorteil der MRT liegt darin, dass sie detaillierte Bilder der Prostata schmerzfrei sowie ohne Strahlenbelastung liefert und mögliche Veränderungen frühzeitig sichtbar machen kann.

Für die Untersuchung erhalten Sie in der Regel ein Medikament (Buscopan), das die Darmbewegung reduziert und so die Bildqualität verbessert. Nach der Gabe dieses Medikaments sollten Sie am Untersuchungstag nicht aktiv am Straßenverkehr teilnehmen.

Wir empfehlen daher, für die Heimfahrt eine Begleitperson zu organisieren oder öffentliche Verkehrsmittel zu nutzen.