Kardio-CT
Computertomatographie des Herzens
Überblick
Mittels der Herz-CT können der Herzmuskel, die Herzkammern, die Herzklappen und vor allem die Herzkranzgefäße dargestellt werden.
Ablauf
Beim nativen CT-Scan ohne Kontrastmittel zur Evaluierung der konoraren Kalklast benötigt der Patient keine spezifischen Blutwerte für die Untersuchung. Der Patient wird auf dem CT-Tisch gelagert und EKG-Kabel werden angeschlossen, um bewegungsfrei Bilder akquirieren zu können. Nach nur zwei Atemanhalte-Manövern mit kurzen Atemanhaltephasen von unter 10 Sekunden ist die Untersuchung bereits beendet und der Patient kann nach insgesamt nur 5 Minuten das CT wieder verlassen.
Zur Durchführung der CT-Angiographie des Herzens ist eine intravenöse Kontrastmittel-Gabe über eine Armvene notwendig, so dass vor der Untersuchung eine kurze Venenverweilkanüle angelegt werden muss (ähnlich einer Blutabnahme). Auch wenn mit der neuen Gerätetechnologie nur eine geringe Menge Kontrastmittel für die Untersuchung injiziert werden muss (ca. 60-80 ml, je nach Patientengewicht), sollten vor der Untersuchung eine bekannte Kontrastmittelallergie sowie eine Überfunktion der Schilddrüse und eine Einschränkung der Nierenfunktion durch entsprechende Blutwerte ausgeschlossen sein. Zur Verbesserung der Bildqualität kann bei Patienten mit einer initial höheren Herzfrequenz die vorherige Gabe eines Betablockers (Metoprolol) notwendig sein, um die Herzfrequenz zu senken. Eine hohe Herzfrequenz verursacht durch eine zu schnelle Bewegung der Herzkranzgefäße Bewegungsartefakte mit einer Unschärfe der Gefäßkonturen.
Nach dem nativen CT-Scan erfolgt während der Kontrastmittel-Injektion der EKG-getriggerte CT-Scan mittels eines dritten Atemanhaltemanövers (von unter 10 Sekunden) durch einen eng bemessen Bereich des Brustkorbes zur alleinigen Darstellung des Herzens. Bei Bypass-Patienten wird der Scan-Bereich entsprechend dem Verlauf der Bypass-Gefäße ausgeweitet. Während der Kontrastmittel-Injektion kann es kurzfristig zu einem Wärmegefühl im Körper sowie zu Geschmacksveränderungen an der Zunge kommen. Das ist normal und unbedenklich. Nach dem CT-Scan wird die Venenkanüle entfernt und die Punktionsstelle mit einem Pflaster versorgt. Der Patient kann anschießend den CT-Raum verlassen und nach Erhalt einer CD mit den Untersuchungsdaten den Heimweg antreten. Die gesamte Untersuchung, inklusive Patientenvorbereitung, benötigt eine Dauer von nur 15-20 Minuten.


Kalkscore
Ohne den Einsatz von Kontrastmittel lassen sich mit einem nativen CT-Scan im Rahmen des Calcium-Screening die Anzahl und Menge von Verkalkungen der Herzkranzarterien ermitteln. Dieses Verfahren ist sinnvoll für Patienten, bei denen bislang keine koronare Herzerkrankung bekannt ist und die keine akuten Beschwerden haben, aber bei denen ein gewisses Risiko (mittlere Vortestwahrscheinlichkeit) für eine Koronarherzerkrankung (KHK), z.B. im Form von Bluthochdruck, Diabetes, hohen Blutfettwerte, familiärer Vorbelastung oder Rauchen, besteht.
Das Ausmaß der Verkalkungen wird als Kalkscore, Kalziummasse und Kalziumvolumen quantifiziert und geschlechts- und altersspezifisch einem Risiko für ein kardiovaskuläres Ereignis (Angina pectoris, Herzinfarkt) zu geordnet. Anhand des Ergebnisses kann der zuweisende Hausarzt, Internist oder Kardiologe die Notwendigkeit einer weitergehenden medikamentösen Therapie abschätzen. Für Patienten mit Beschwerden oder einer gesicherten KHK mit bereits einliegenden Stents oder Bypässen ist dieses Verfahren nicht sinnvoll, da eine direkte Aussage zu Gefäßeinengungen ohne Kontrastmittelgabe nicht möglich ist.
CT-Angiographie der Herzkranzgefäße
Zur Beurteilung von Engstellen oder Verschlüssen der Herzkranzgefäße muss eine intravenöse Kontrastmittelgabe erfolgen. Im Gegensatz zu einer Herzkatheteruntersuchung muss das jodhaltige Kontrastmittel jedoch nicht invasiv über einen Katheter direkt in eine Herzkranzarterie injiziert werden.
Bei der CT-Angiographie (CT-A) reicht ein dünner, kurzer Infusionszugang an einer Armvene für die Kontrastmittelgabe, so dass unmittelbar nach der Untersuchung ein einfaches Pflaster an der Punktionsstelle ausreicht. Somit fallen mehrere Risiken und Nachteile (Druckverband, stationärer Aufenthalt) des Herzkatheters bei der CT-A weg und der Patient kann unmittelbar nach der Untersuchung wieder nach Hause gehen.
Eine CT-Angiographie kann insbesondere sinnvoll sein bei Patienten ohne bekannte KHK mit unklarem Brustschmerz oder Atemnot, bei denen EKG-Untersuchungen, Echokardiographie und Bluttests keinen eindeutigen Hinweis auf eine Einengung der Herzkranzgefäße gezeigt haben. Die CT-A kann, auf der Basis unserer modernen CT-Technologie, die Herzkranzarterien hochaufgelöst und trotz schlagenden Herzens bewegungsfrei darstellen, so dass es uns Ärzten möglich ist, nicht nur Gefäßverschlüsse, sondern auch den Schweregrad einer Gefäßeinengung zu detektieren. Hieraus ergibt sich eine mögliche Aussage über die Notwendigkeit einer invasiven Herzkatheteruntersuchung bei einem Kardiologen zur weiteren Abklärung bzw. Behandlung des im CT erhobenen Befundes. Somit können durch die Herz-CT-Untersuchung unnötige invasive Herzkatheteruntersuchungen bei Patienten verringert werden.
Dieser Anwendungsbereich der Herz-CT ist bereits in einem gemeinsamen Konsensuspapier der Deutschen Gesellschaften für Kardiologie und für Radiologie als sinnvoll festgehalten worden. Darüber hinaus können mittels der CT-A des Herzens bei vorbehandelten Patienten nicht invasiv die Herzbypässe auf Durchgängigkeit kontrolliert werden. KHK-Patienten mit einliegenden Koronarstents können in Abhängigkeit von der Art und der Durchmesser der eingebrachten Stents ebenfalls mittels Herz-CT untersucht werden, wobei bei diesen Patienten Einschränkungen der Aussagekraft vor allem bei Stents kleiner 3,5 mm Durchmesser und bei alten Metallstents bestehen.
Insgesamt besteht eine Einschränkung der Aussagekraft der CT-A bei sehr stark verkalkten Herzkranzarterien. Daher machen wir in unserer Praxis vor der eigentlichen CT-Angiographie immer einen nativen CT-Scan für den Kalk-Nachweis, um Patienten mit einer ausgeprägten Konorasklerose herauszufiltern und ihnen einen unnötige Kontrastmittelgabe zu ersparen. Solche Patienten sollten im Umkehrschluss zur weiteren Abklärung einer Herzkatheteruntersuchung zugeführt werden.


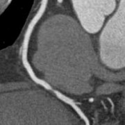
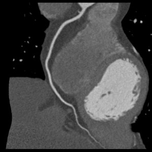
RCA
RCA-Stenose
Stand der Technik
Unsere neue CT-Gerätetechnik erreicht eine niedrige, individuell angepasste Strahlendosis mit einer hohen Bildqualität des bewegten Herzens durch die Kombination eines modernen Stellar-Detektors, einer erweiterten automatischen Strahlendosismodulation (FAST 3D-Camera, CareKv, CareDose) und einer hohen zeitlichen und räumlichen Auflösung (128 Schichten, Rotationszeit 0,33 Sekunden).Hierdurch ist es möglich, insbesondere die Herzkranzarterien nicht-invasiv in hoher Bildqualität darzustellen.
Die koronare CT-Angiografie ist seit Anfang 2025 auch eine Leistung für gesetzlich versicherte Patienten bei Verdacht auf eine koronare Herzerkrankung.
Voraussetzung hierfür ist, dass auf der Überweisung des Hausarztes oder des Kardiologen die Vortestwahrscheinlichkeit für eine KHK angegeben ist (diese muss zwischen 15-70% liegen) und der Score benannt ist, mit dem diese Vortestwahrscheinlichkeit ermittelt wurde (z.B. Marburger-Herzscore, DISCHARGE-Score, ESC-Score).
Auswertung
Die Auswertung der Herz-CT-Untersuchung erfolgt nach der Untersuchung durch die ärztlichen Kollegen mittels einer dezidierten Auswertesoftware mit Anfertigung selektiver Bilder der Herzkranzarterien und des gesamten Koronarbaumes. Durch die jahrelange Expertise von Dr. Andersen-van Loyen im Rahmen seiner vorherigen Tätigkeit als leitender Oberarzt mit Schwerpunkt in der radiologischen Herzbildgebung mit bereits mehreren tausenden befundeter Herz-CT-Untersuchungen kann unsere Praxis trotz der erst neu angeschafften Gerätetechnologie eine herausragende Fachkenntnis und Befundqualität gewährleisten.